Reconstructive
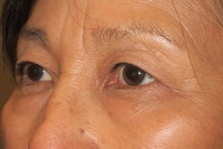
64-year-old Asian female. She complained of difficulty seeing all the time, especially when playing golf. She requested a small lid crease without tarsal platform show (area to place eye shadow). Procedure: bilateral upper eyelid ptosis repair (external). Timeline: 3 months after surgery. Surgeon: Caroline Vargason, MD PhD








































