-
Upper Blepharoplasty (Upper Eyelid Surgery)
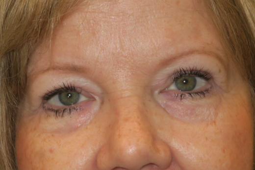
Patient 1
Reconstructive
Procedures: Upper Blepharoplasty
Surgeon: Caroline Vargason, MD PhD
Individual results may vary.
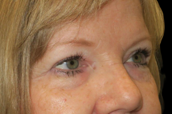
Patient 2
Reconstructive
Procedures: Upper Blepharoplasty
Surgeon: Caroline Vargason, MD PhD
Individual results may vary.
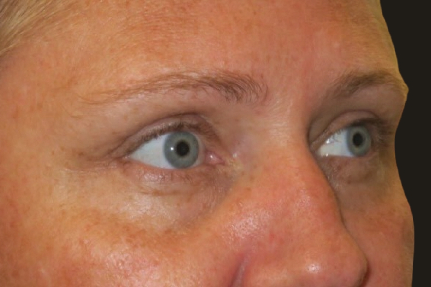
Patient 3
Reconstructive
Procedures: Upper Blepharoplasty
Surgeon: Caroline Vargason, MD PhD
Individual results may vary.
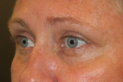
Patient 4
Cosmetic & Reconstructive
67-year-old Caucasian Hispanic female. She complained of difficulty seeing at night, bumping into things overhead, and a heavy feeling of the eyelids. These issues resolved after surgery.
Procedures: bilateral upper eyelid ptosis repair (external) & upper blepharoplasty Cosmetic bilateral internal browplasty.
Timeline: 3 months after procedure.
Surgeon: Caroline Vargason, MD PhD
Individual results may vary.
Patient 5
Reconstructive
71-year-old Caucasian female. She complained of difficulty seeing when reading throughout the day & the eyelids feeling very heavy in the morning due to swelling. She has a nerve condition (4th nerve palsy) that causes her to tilt her head to the right. After surgery she tilts her head much more because she can see better. She has the added benefit of seeing her eyelashes again. She still has swelling of the eyelids in the morning, however it no longer blocks her vision.
Procedures: bilateral upper eyelid ptosis repair (external), bilateral upper eyelid blepharoplasty.
Timeline: 7 weeks after procedure.
Surgeon: Caroline Vargason, MD PhD
Individual results may vary.
Patient 6
Reconstructive & Cosmetic
55-year-old Caucasian female. She complained of heavy feeling eyelids all the time, on the right more than the left. She has needed to have differently curved lash extensions applied due to the upper eyelid hooding.
Procedures: right upper eyelid ptosis repair (internal), cosmetic bilateral upper eyelid blepharoplasty.
Timeline: 4 months after procedure.
Surgeon: Caroline Vargason, MD PhD
Individual results may vary.
Patient 7
Reconstructive & Cosmetic
55-year-old Caucasian female. She complained of heavy skin weighing down the upper eyelids, difficulty seeing to the sides (peripheral vision decrease), and not liking large cholesterol deposits (xanthelasmas) on the upper and lower eyelids. Her confidence and eye sparkle were retored after surgery.
Procedures: bilateral upper eyelid blepharoplasty, bilateral uppper & lower eyelid xanthlasma excision (with sutures).
Timeline: 5 months after procedure.
Surgeon: Caroline Vargason, MD PhD
Individual results may vary.
Patient 8
Reconstructive & Cosmetic
42-year-old Caucasian female. She complained of seeing a shadow in her side vision, having a headache from lifting her eyebrows all day at work, unable to have lashes done due to skin sitting on the lashes, and unable to wear eye makeup because it smudges off.
Procedures: bilateral upper eyelid blepharoplasty (right cosmetic), left internal browplasty (cosmetic).
Timeline: 9 weeks after surgery.
Surgeon: Caroline Vargason, MD PhD
Individual results may vary.
Patient 9
Reconstructive
51-year-old Caucasian female. She complained of blurry vision, seeing her upper eyelashes all the time, and not being able to apply mascara well. Timeline: 8 weeks after surgery. Surgeon: Caroline Vargason, MD PhD
Individual results may vary.
Patient 10
Reconstructive & Cosmetic
68-year-old Caucasian female. She complained of a headache from always lifting her eyebrows to read. Procedures: bilateral upper eyelid blepharoplasty, right browplasty. Timeline: 6 weeks after surgery. Her headaches were relieved. She was delighted that her glasses no longer look crooked on her face after lifting the right brow. Surgeon: Caroline Vargason, MD PhD
Individual results may vary.
Patient 11
Reconstructive & Cosmetic
69-year-old Caucasian female. She complained of under eye bags & heavy upper eyelids causing difficulty with side (peripheral) vision. Procedures: bilateral lower eyelid blepharoplasty, bilateral upper eyelid ptosis repair (internal) & blepharoplasty. Timeline: 4 months after surgery. Surgeon: Caroline Vargason, MD PhD
Individual results may vary.
Patient 12
Reconstructive & Cosmetic
68-year-old Caucasian female. She complained of puffy lower eyelids & heavy upper eyelids interfering with her vision. Procedures: bilateral lower eyelid blepharoplasty, bilateral upper eyelid ptosis repair (internal) & blepharoplasty. Timeline: 6 months after surgery. Surgeon: Caroline Vargason, MD PhD
Individual results may vary.
Patient 13
Reconstructive
68-year-old Caucasian female. She complained of her upper eyelids blocking her side (peripheral) vision. Procedures: Bilateral temporal & internal brow lift, upper eyelid ptosis repair (internal), upper eyelid blepharoplasty. Timeline: 11 weeks after surgery. Surgeon: Caroline Vargason, MD PhD
Individual results may vary.
Patient 14
Reconstructive
61-year-old Caucasion male. He complained of heavy eyelids blocking his vision.
Procedures: Bilateral temporal & internal brow lift & bilateral upper eyelid blepharoplasty.
Timeline: 8 weeks after surgery. Incisions will fade over 2-3 months.
Surgeon: Caroline Vargason, MD PhD
Individual results may vary.
Patient 15
Reconstructive
53-year-old Caucasian female. She complained of heavy eyelids blocking her vision.
Procedures: Bilateral temporal & internal brow lift & bilateral upper eyelid blepharoplasty.
Timeline: 5 weeks after surgery Incisions will fade over 2-3 months.
Surgeon: Caroline Vargason, MD PhD
Individual results may vary.




























































































