-
Upper Blepharoplasty (Upper Eyelid Surgery)
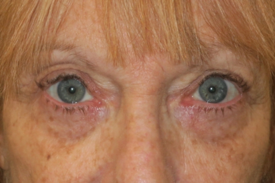
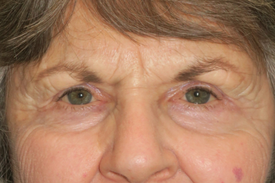
Patient 1
Reconstructive
67-year-old Caucasian female. She complained of heavy eyelids blocking her vision.
Procedure: Bilateral upper eyelid blepharoplasty. (Reconstructive)
Timeline: 3 months after surgery.
Surgeon: Caroline Vargason, MD PhD
Individual results may vary.
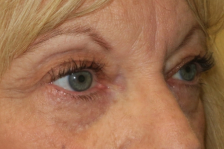
Patient 2
Cosmetic
54-year-old Asian & Caucasian female. She complained of heavy eyelids blocking her vision.
Procedure: Bilateral upper eyelid blepharoplasty.
Timeline: 3 months after surgery.
Surgeon: Caroline Vargason, MD PhD
Individual results may vary.
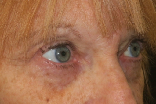
Patient 3
Cosmetic
57-year-old Caucasian female. She complained of heavy feeling eyelids and disliked how makeup went on.
Procedure: Bilateral upper eyelid blepharoplasty.
Timeline: 1 year after surgery.
Surgeon: Caroline Vargason, MD PhD
Individual results may vary.
Patient 4
Reconstructive
67-year-old Caucasian male. He complained heavy eyelids causing difficulty seeing when driving. Procedure: bilateral upper eyelid blepharoplasty. Timeline: 3 months after surgery. Surgeon: Caroline Vargason, MD PhD
Individual results may vary.
Patient 5
Reconstructive
70-year-old Caucasian male. He complained of always seeing shadows in his vision. Procedure: bilateral upper eyelid blepharoplasty. Timeline: 2 months after surgery. Surgeon: Caroline Vargason, MD PhD
Individual results may vary.
Patient 6
Reconstructive
62-year-old Caucasian female. She complained of difficulty seeing well when reading and driving at night.
Procedures: bilateral upper eyelid ptosis repair (external), bilateral upper eyelid blepharoplasty.
Timeline: 6 weeks after surgery. Surgeon: Caroline Vargason, MD PhD
Individual results may vary.
Patient 7
Reconstructive
82-year-old Caucasian male. He complained of seeing his eyelids when looking straight ahead, seeing shadows in his side vision, and not being able to see stop signs on his left side when driving.
Proedures: bilateral temporal brow lift, bilateral upper eyelid blepharoplasty. During his ride home from surgery, he he was amazed to notics the shades over his vision were already lifted.
Timeline: 7 week after surgery.
Surgeon: Caroline Vargason, MD PhD
Individual results may vary.
Patient 8
Reconstructive
76-year-old Caucasian female. She complained of difficulty seeing when driving and bumping into things overhead.
Procedures: bilateral upper eyelid blepharoplasty.
Timeline: 9 weeks after surgery.
Surgeon: Caroline Vargason, MD PhD
Individual results may vary.
Patient 9
Reconstructive & Cosmetic
62-year-old Caucasian female. She complained of difficulty seeing the computer screen & a weight on the upper eyelids at the end of the day. She did not like the puffy bags under the eyes.
Procedures: biilateral upper eyelid ptosis repair (external), bilateral upper eyelid blepharoplasty, cosmetic bilateral lower eyelid blepharoplasty.
Timeline: 6 months after surgery.
Surgeon: Caroline Vargason, MD PhD
Individual results may vary.
Patient 10
Reconstructive
76-year-old Caucasian male. He complains of difficulty reading books and computer screens & difficulty seeing in the dark.
Procedures: bilateral upper eyelid ptosis repair (external), bilalateral upper eyelid blepharoplasty.
Timeline: 9 week after surgery.
Surgeon: Caroline Vargason, MD PhD
Individual results may vary.
Patient 11
Reconstructive
68-year-old Caucasian female. She complains of not reading anymore because it is a pain to see the books. She cannot see herself in the mirror anymore unless she tips her chin upwards.
Procedures: bilateral upper eyelid ptosis repair (external), bilalateral upper eyelid blepharoplasty.
Timeline: 11 weeks after surgery.
Surgeon: Caroline Vargason, MD PhD
Individual results may vary.


























































