Reconstructive & Cosmetic
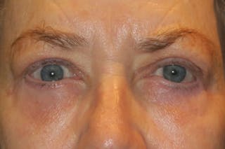
68-year-old Caucasian female. She complained of puffy lower eyelids & heavy upper eyelids interfering with her vision. Procedures: bilateral lower eyelid blepharoplasty, bilateral upper eyelid ptosis repair (internal) & blepharoplasty. Timeline: 6 months after surgery. Surgeon: Caroline Vargason, MD PhD








































