-
Upper Blepharoplasty (Upper Eyelid Surgery)
Reconstructive
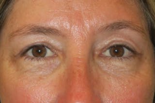
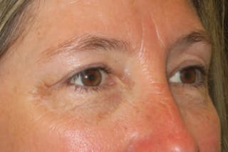
51-year-old Caucasian female. She complained of blurry vision, seeing her upper eyelashes all the time, and not being able to apply mascara well. Timeline: 8 weeks after surgery. Surgeon: Caroline Vargason, MD PhD



































