-
Lower Blepharoplasty (Lower Eyelid Surgery)
Cosmetic & Reconstructive
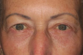
69-year-old Caucasian female. She complained of under eye bags & heavy upper eyelids causing difficulty with side (peripheral) vision. Procedures: bilateral lower eyelid blepharoplasty, bilateral upper eyelid ptosis repair (internal) & blepharoplasty. Timeline: 4 months after surgery. Surgeon: Caroline Vargason, MD PhD

















