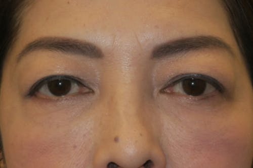
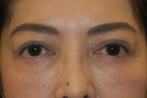
Asian eyelid surgery, also known as double eyelid surgery, is used to create a natural-appearing crease in the upper eyelid. This results in eyes that appear larger and can also address asymmetries.
Who Is a Candidate for Asian Eyelid Surgery?
If you are unhappy with your eyes, you may be a candidate. To determine if you are a candidate, you first need a consultation with Dr. Vargason. During the consultation, your medical history will be reviewed to ensure you are in good overall health. Dr. Vargason will then discuss your goals for the procedure and show you photos of previous patient results to understand your desired appearance.
She will then examine your eyelids and discuss which areas can be improved with surgery. If you are a candidate and decide to move forward, she will also discuss expected recovery time, risks, and the longevity of your results.









