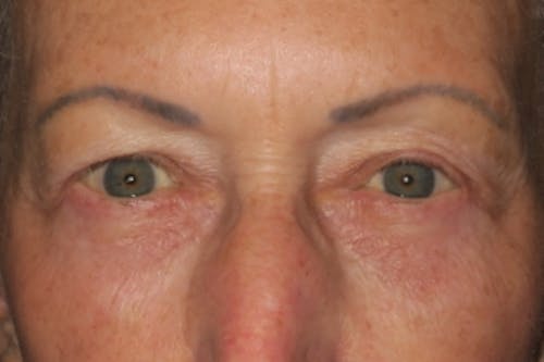
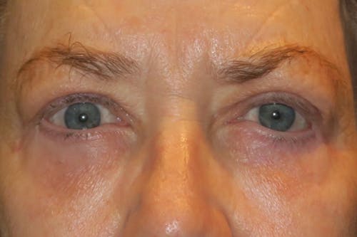
Lower eyelid surgery, also known as lower lid blepharoplasty, can improve wrinkles, sagging, or bags beneath your eyes. This unique procedure can be combined with others, including a facelift, upper eyelid surgery, or a brow lift to refresh your appearance completely.
Why Choose Dr. Vargason for Lower Blepharoplasty?
Dr. Caroline Vargason is a board-certified oculofacial plastic surgeon who specializes in treating the areas around the eyes. Eyelids are her specialty, having performed over 5,000 procedures and continuing to perform them weekly.
When working with patients on their eyelids, she customizes her technique to match each patient's unique anatomy and makes many small, meticulous decisions to customize each procedure. Her surgical technique is designed to preserve volume, provide long-lasting results, and leave minimal scarring. When operating near the eyes, safety is always a concern. Dr. Vargason is highly trained in ensuring your vision is protected, and your eyes remain safe throughout the procedure.



























